İletişim Bilgileri:
Çocuk Kalbi Hakkında Her Türlü Sorularınız İçin Bize Ulaşın:
info@sancareminoglu.com
Telefon: 0555 097 0666
Adres:
Söğütözü Mahallesi 2178. Cadde
Söğüt İş Merkezi,
No:4, Kat :5 Daire:11
PK: 06510 Çankaya/Ankara
Çocuk Kardiyoloji Tedaviler
Çocuklardaki kalp hastalıklarının medikal (tıbbi) tedavileri hastalığa göre değişiklik göstermektedir. Ancak burda her hastalığa göre değil kabaca uygulanan yöntemlerden bahsedilecektir. Çocuklarda neden ne olursa olsun konjestif kalp yetersizliğinin tedavisi benzerdir. Üçlü ilaç tedavisi (dijital, ACE inhibitörü ve diüretik) en çok kullanılan ilaçları oluşturmaktadır. Bazı özel nedenlere bağlı olarak, gelişen kalp yetersizliğinde farklı ilaçlar kullanılabilir.
Ritim bozukluklarında, kansızlık durumunda, vitamin ve bazı elementlerin eksikliklerinde ve yoğun bakımlarda farklı ilaçlar kullanılabilir. İlçlar kullanılırken çok dikkatli olunmalı, her basamakta emin ve dikkatli olunmadan ilaç verilmemelidir.
Akut romatizmal ateş, perikardit, myokardit ve enfektif endokardit gibi enfeksiyöz hastalıklarda uygun antibiyotik önemlidir. Aşı ve immuno globülin uygulamaları seçilmiş uygun vakalarda yapılabilmektedir.
Çocukluk yaş grubunda hastalıklardan korunma, en etkin ve en önemli tedavi yöntemlerinden biridir. Obesiteden korunma dünyada en çok üzerinde durulan konulardan biridir. Çünkü kalp hastalığı dahil bir çok hastalığın tetikleyicisi konumundadır. Akut Romatizmal Ateş (ARA) halk arasındaki kalp romatizmasının ve enfektif endokarditin (kalp zarı iltihabı) korunması çok kolay, etkin ve ucuz yapılabilmektedir. Ameliyata gerek kalmadan kalp korunabilmektedir. Bir ameliyat parasıyla binlerce kişinin kalp hastalığından korunması sağlanabilir.
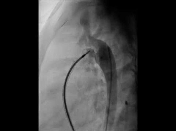
Son zamanlarda bazı doğuştan kalp hastalıklarının kesin tedavisinde, bazılarının palyatif tedavilerinde girişimsel tedavi yöntemleri ön plana çıkmıştır. Kalp kateterizasyonu / anjiyografi yöntemiyle uygulanan bir tedavi yöntemidir.
İşlemler cerrahiye göre kısa sürmekte, daha az komlikasyon ve daha az hastane kalış süreleri olmaktadır. Kalp durdurulmamakta, çoğunlukla herhangi bir kan transfüzyon ihtiyacı gerektirmemektedir. Vücutta herhangi bir kesi veya skar (ameliyat izi) oluşmamaktadır. Yoğun bakım ihtiyacı çok az vakada gerekmektedir. Kalpteki delikler, kapak yada damarlardaki darlıklar, suni kapak yerleştirmeleri dahil birçok işlem girişimsel tedavi yöntemiyle mükemmel bir şekilde uygulanabilmektedir. Birden fazla ve farklı patolojileri olan kalp hastalıklarında aynı seansta girişimsel tedavi uygulamaları gerçekleştirilebilmektedir.
Girişimsel tedavi seçenekleri ve çeşitliliği giderek artmakta doğuştan kalp hastalıklarının %80’ine uygulanabilmektedir.
Çocuklarda kalp ameliyatları hem çok zor, hemde her merkezde uygulanamamaktadır. Özellikle kompleks kalp patolojilerinin amaliyatları daha da önem arzetmektedir. Özellikle cerrahi sonrası bakım ve komplikasyonların yönetimi çok daha zor ve önemlidir. Meşguliyeti çok getirisi az olan ameliyat türüdür.
Dünyada en zor ve kompleks ameliyatlar arasında yer almış, risk skorlamasında ön saflarda yer tutmuştur. Doğuştan kalp hastalıklarının %20'si kompleks kardiyak patoloji olup cerrahi tedavileri dışında herhangi bir tedavileri yoktur. Kompleks kardiyak patolojilerin çok önemli bir kısmında birden fazla ameliyat gereksinimi olabileceğini unutmamalıyız. Erken dönemde hatta yenidoğan döneminde dahi ameliyat gereksinimi olabilir. Bazı hastalar 3 yada 4 kez ameliyat gerektirebilir. Bir kısmında erişkin dönemlerinde dahi ameliyat gerektirecek durumlar olabilir.
Bazı durumlarda nihai çözüm kalp transplantasyonu (nakli) olabileceğini bilmemiz gerekir.
Çocuk Kalbi Hakkında Her Türlü Sorularınız İçin Bize Ulaşın:
info@sancareminoglu.com
Telefon: 0555 097 0666
Adres:
Söğütözü Mahallesi 2178. Cadde
Söğüt İş Merkezi,
No:4, Kat :5 Daire:11
PK: 06510 Çankaya/Ankara
Build your own web page with Mobirise